倉敷市都窪郡早島の歯医者|一般歯科・歯周病治療・矯正も「はら歯科医院」にお任せください

*

ご予約・お問合せ

086-483-0003

MENU

CLOSE

*

スタッフブログ

前歯の被せ物、保険の前装冠と自費のセラミック冠について🦷

2025.11.05

こんにちは、はら歯科医院Dr.原総一郎です🪥
今回は前歯の被せ物についてお話ししようと思います。

前歯の被せ物は保険治療と自費治療で種類が変わります、その中でよく使用されるレジン前装冠(保険)とオールセラミッククラウン(自費)についてみていきます!

⚫︎ レジン前装冠(保険)
 
 素材は金属フレーム+レジン(プラスチック)
 白い見た目で審美性をある程度再現できる
 金属フレームを使用しているため噛む力に対
 応できる
 白い部分(レジン)が時間経過とともにすり
 減ったり変色しやすい
 口を大きく開けると裏面の金属が見える可能
 性がある
 保険治療であり比較的安価で治療できる 
 など特徴があります!

⚫︎オールセラミッククラウン(自費)

素材はセラミックのみ
透明感が強く天然歯に近い審美性を得れる
すり減ったり変色することが少ない
プラークが付着しにくく歯肉を健康に保ち
やすい
噛む力が強すぎる方には不向き
神経が残っている歯に被せると知覚過敏が
生じる可能性がある
自費治療であり高価である
など特徴があります!

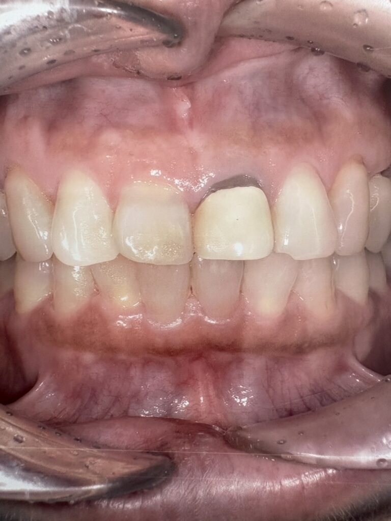
⚫︎実際の症例

before

after

前歯の見た目を治したいを主訴に来院された患者さんです。
上顎にレジン前装冠(保険)が被さっており説明のうえオールセラミッククラウン(自費)で
治療することになりました。

術後の写真になりますがセラミックを一層一層盛り上げて色調を合わせてあるため天然歯にとても類似した自然な仕上げになります。

見た目が気になる、古い被せ物を治したいなど
ありましたら、口の中の状態に合わせた治療を説明させてもらいますので、お気軽にお尋ねください!

ご予約・お問合せ